在医学界,百岁老人手术常被视为“禁区”,而近日,开云kaiyun官方网站附属第一医院关节外科卢伟杰主任医师团队成功完成一台114岁超高龄患者的股骨头置换术,突破“年龄枷锁”——术后无须转入ICU,仅仅72小时过后,患者钟奶奶便扶着助行器重新站立起来,迈出前进的步伐。这场“高龄攻坚战”不仅展现了医疗技术的突破,更诠释了对生命尊严的守护。

当“人生最后一次骨折”遇上世纪老人
这位114岁的患者,在家中因不慎跌倒致右侧股骨转子间骨折,卧病于床。对于如此超高龄的患者而言,骨折不仅带来了身体上的痛苦,更对其生活质量和生命健康构成了严重威胁。
保守治疗需长期卧床,可能引发肺部感染、泌尿系统感染、深静脉血栓形成、压疮等一系列并发症,随时危及生命。据文献报道,髋部骨折不治疗可导致九十多岁老人和百岁老人的1年死亡率超过60%;而选择手术治疗则需直面心肺功能衰退、多器官衰竭等风险。老年人这类髋部骨折被称作“人生最后一次骨折”,超高龄患者常因其并发症走向生命终点。


施行人工股骨头置换术术后72小时即可行走
面对两难境地,家人辗转来到广医一院关节外科寻求卢伟杰主任的帮助,希望能解决疼痛,让老人重新站立起来。卢伟杰团队凭借丰富的关节外科手术经验毅然开启这场生命保卫战。
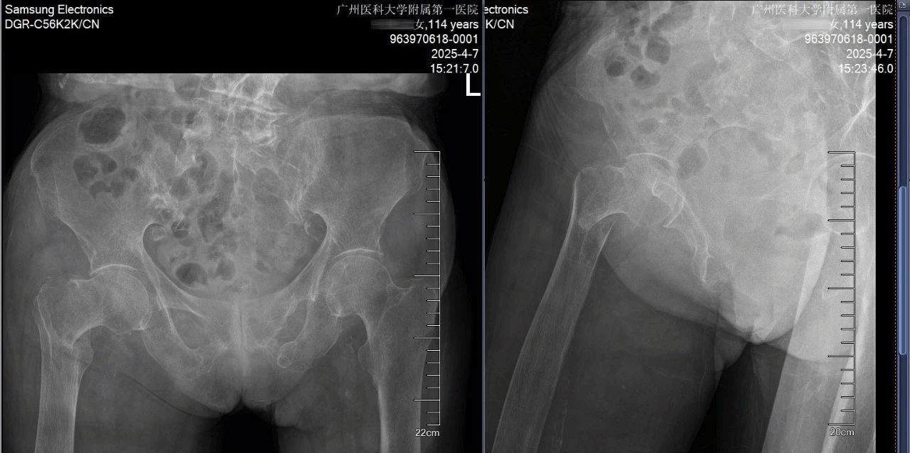
术前全面评估,患者术前有下肢DVT、肺部感染、慢性心功能不全、中度贫血、低蛋白血症,X线片显示股骨皮质极薄、股骨髓腔呈“烟筒样”改变。术前多学科会诊并给予抗凝、控制肺部感染、改善贫血和低蛋白血症、治疗骨质疏松、改善心功能,为麻醉、手术治疗创造条件。
经过精心术前准备,患者各项指标明显改善,考虑到患者骨质疏松非常严重和早期下地活动的要求,经多学科讨论,并且与家属充分沟通和慎重考虑,卢伟杰团队最终决定采用水泥型人工股骨头置换术进行治疗。

麻醉科温晓晖主任医师贯彻无管化(Tubeless)理念,采用腰硬联合麻醉技术,避免全麻对呼吸、循环系统的冲击,为脆弱心肺筑起保护屏障。

手术在卢伟杰主任医师的带领下稳步进行,手术团队配合默契、采用骨水泥固定技术,减少出血量、便于患者早期下地行走,在顺利完成关节置换的同时,极大降低手术创伤对病人的影响。由于准备充分,对患者全身情况干扰较少,手术结束后,患者直接返回普通病房,继续康复治疗。

回到病房,宋丽娟护士长及护士们秉承(ERAS)快速康复理念,对患者精心照料,从伤口护理到疼痛管理,从饮食搭配到康复训练,每一个细节都做到“零疏漏”。

经过多学科医生、麻醉、护理多方紧密配合,百岁老人的生命体征平稳,患肢的血液循环和关节活动情况良好,未出现并发症。
患者术后72小时即实现行走突破,已能在助行器的帮助下行走活动,生活质量得到了显著改善。“她的毅力,连年轻人都自愧不如。”宋丽娟护士长感慨道。这场与时间的赛跑、与生命的较量,是医疗技术的胜利,也是精细化护理与人文关怀的完美结合。


术前术后X光照片






医患温馨时刻